三好デンタルオフィス
Metal Free DC Presented by Miyoshi Detal Office

Root Canal根管から治療したい方へ

根管から治療したい方へ

根管治療が必要な
原因・治療法について

重度の虫歯でも歯を残すための根幹治療
虫歯は一度かかってしまうと自然に治癒することはなく、放っておくとどんどんと歯を溶かし、やがては神経まで達して冒してしまいます。そして神経まで冒された達してしまった場合、そのまま放置してしまうと抜歯以外に対処法がなくなってしまいます。そこで行うのが「根管治療」です。
虫歯に冒された神経を除去し、神経が入っていた歯の根の中にある管(根管)をきれいにすることで、歯を抜かずに残すことができます。
患者さんの歯をいかに長持ちさせられるか。
そのための根幹治療をご提供しています。
なお、歯を抜かずに残すことは周囲の歯並びを維持する上でも非常に大切です。なぜなら1本でも歯がなくなってしまうと、その部分へ両脇の歯が傾き、噛み合わせの歯がせり出し、歯列全体の乱れを起こしてしまうことにも繋がるからです。
神経が残っている歯の場合
広島市の歯科医院「三好デンタルオフィス」では、「患者さんの歯をいかに長持ちさせられるか」を考え、根管治療に力を入れています。
医院名とともに掲げている「メタルフリーマイクロエンドオフィス」の“マイクロエンド”は、マイクロスコープ(拡大鏡)を用いた精密な根管治療という意味です。当オフィスの技術をもって最大限の根管治療をご提供しますので、もしも他院で抜歯と診断された方も、まずは一度当オフィスへご相談ください。

こんなことで
お困りでは無いですか?

  • 虫歯治療した後も同じところが痛い
  • 抜歯を勧められたが、歯は抜きたくない
  • しばらく様子をみましょうと言われたが、歯が痛い
これらのお悩みをもっている患者さんは少なくありません。
この背景には、治療における「見えない」部分の難しさが大きく影響しています。
口の中を見た時や、レントゲンを撮影して分かることもありますが、それだけでは 痛みの原因が分からない場合もあります。
歯の根っこ部分は、歯茎の中に埋まっており、歯の中にある神経の通り道は暗く見えにくい上に、神経が通っている部分は非常に複雑です。
更に歯の中だけでは無く、外側に見えないほどのヒビが入っていることもあります。これらは、「見えない」部分にあたります。一般的な歯科医院では、こういった「見えない」部分に対して、知識や経験、指で触った感覚や想像を駆使して治療をおこなっています。こういった状況に対して複数の患者さんは不満を持っています。
広島市の歯科医院「三好デンタルオフィス」では、なかなか治らない痛みや腫れの原因を根本から追求したうえで、改善いたします。少しでも気になる方は当院へお越しください。

根管治療が必要な症状

神経が残っている歯の場合

  • 冷たいものを飲むとしみる、痛む
  • 甘いものを食べるとしみる、痛む
  • 噛むと痛む
  • 何もしなくてもズキズキと痛む
以上のような、いわゆる虫歯の痛みがあれば、根管治療が必要(=神経が冒されている)かもしれません。特に何もしなくても痛む場合は、ほぼ神経が冒されていると判断してよいでしょう。
神経が残っている歯の場合

神経を取っている歯の場合

  • 歯ぐきが腫れている
  • 歯ぐきにさわると痛む
  • 噛むと痛む
  • 歯ぐきの中に内出血がある
  • 歯が浮いた感じがする
一度根管治療を行い、神経を除去している場合は、直接歯に痛みはありません。しかし以上のような症状がある場合は再発している場合がありますので、早急な検査・治療が必要です。
神経を取っている歯の場合

薬剤の充填について

薬剤の充填について
根管治療では、神経を除去して根管内を洗浄した後に根管内に薬剤を充填しますが、この薬剤を充填時に根管内に隙間を残してしまうと、その隙間で細菌が増殖して炎症を起こし、再治療が必要になってしまいます。当オフィスでは薬剤充填を隙間なく行うため、「垂直加圧充填」と「側方加圧充填」という2種類の方法を、患部の状態に合わせて使い分けています。

垂直加圧充填

薬剤を根管の先端まで垂直圧で密封する方法です。アメリカ西海岸で多く使用されているサーマフィルを導入しています。
詳細はこちら

側方加圧充填

根管の長さを測り、その長さに合わせた細長い薬剤を根管内に入れ、専用器具を用いて側方圧で圧接する方法です。
詳細はこちら

当オフィスでの根管治療の精度

根管は非常に複雑な形状をしており、肉眼で確認することもできないため、根管治療には非常に高度な技術を要します。しかし残念なことに、不十分な治療に終わり、炎症の再発を招いてしまうケースが後を絶たないのが現状です。

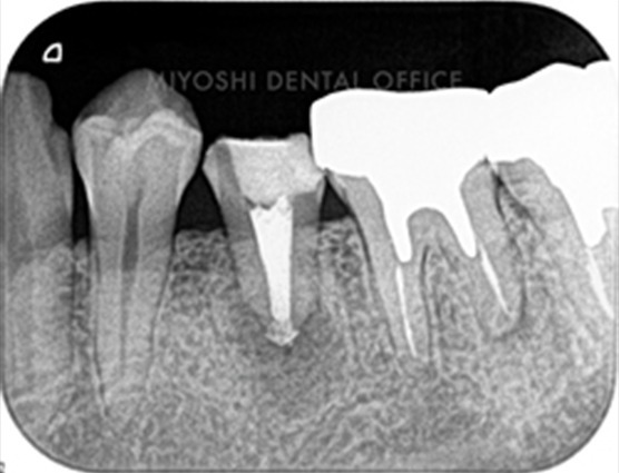
治療前の状態

治療前の状態
不十分な薬剤充填によって根管内に隙間ができ、そこから細菌が繁殖して炎症を起こしてしまっています。

当オフィスでの治療例

当オフィスでの治療例
根管の先まで隙間なく薬剤が充填されており、細菌が繁殖するスペースをなくしています。
当オフィスでの根管治療の精度
当オフィスでは、金属を用いない「メタルフリー治療」を基本にしています。金属を使用する治療には見た目の問題の他にも、金属アレルギーを引き起こすリスクがあります。銀歯が原因で、皮膚のトラブルや頭痛、倦怠感などの症状があらわれるケースが報告されています。

根管治療をご希望の方へ

STEP
歯の神経を除去し、根管の長さを測ります。
歯の神経を除去し、根管の長さを測ります。
STEP
汚染された歯の根を綺麗にして清掃します。
汚染された歯の根を綺麗にして清掃します。
STEP
消毒後、根管内に薬剤を充填します。
消毒後、根管内に薬剤を充填します。
STEP
症例によって、歯の土台となるファイバーコアを入れます。
症例によって、歯の土台となるファイバーコアを入れます。
STEP
セラミックの被せ物を被せて完了です。
セラミックの被せ物を被せて完了です。
根管治療をご希望の方へ

根管治療をご希望の方へ

『根管治療』は、根管から歯髄を取り除いて洗浄・殺菌し、薬剤を詰めて被せ物で補う治療で、『歯内療法』ともいわれます。自分の歯を残すための最も大切な治療であり、歯の寿命に直結します。 根管は樹枝状の複雑な構造をしているので、難しい治療になることも珍しくありません。
自費診療の根管治療を受けていただくことで、生涯の口の健康維持に繋がる精密な治療を行なうことができます。
ただし、希望される方には、保険診療の範囲内でも治療を受けていただけます。

根管治療の際の注意事項

  • 一時的に痛みや腫れが出ることがあります
  • 当院では自費診療となります
  • 患者様で治療の途中で中断をされると、
    悪化し歯を残せなくなることがあります
※根管治療の詳しい費用はこちら
根管治療をご希望の方へ