三好デンタルオフィス
Metal Free DC Presented by Miyoshi Detal Office

Blog&Newsブログ & ニュース

厚生労働省 医療広告ガイドラインに沿うために記述
すべての歯科治療は、治療行為によって治療や改善が約束されているわけではなく、状態の悪化や後遺症の発生、抜歯や死亡を招くリスクを伴います。
※治療費用の例示・根本治療を伴う普通再治療約20万(かぶせものの除去・メタルコア除去・根管治療・根管充填・レントゲン・支台築造・かぶせもの)・普通セラミックつめもの約6万円・普通セラミックかぶせもの約8万円・普通セラミック前歯約13万円・普通抜歯約1.7万円・普通レジン充填約1万円(税抜)
2017/04/05セラミック治療

セラミック治療 抜歯を避けられたケース 2017.04.05

東広島市西条町からお越しのN・Hさんの治療が本日でいよいよ終了です。

初診時:2016年5月31日撮影の写真と本日の比較です。

 

IMG_0260_R23.JPG

IMG_3614_R23.JPG

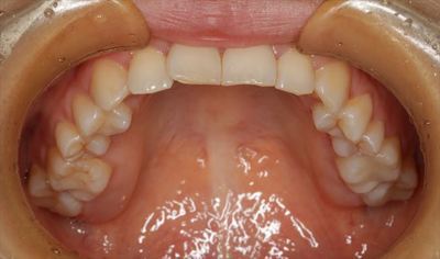
上顎です。

 

IMG_0262_R23.JPG

IMG_3615_R23.JPG

下顎です。

歯冠が崩壊した鋭縁で傷ついていた舌が落ち着いています。

慢性的な刺激は舌癌の要因のひとつと考えられていますので注意が必要です。

 

IMG_066276_R23.JPG

IMG_363330_R23.JPG

右下奥から二番目の第一大臼歯はかなりのむし歯でしたが、

根管治療を行うことで抜歯することなく修復できました。

※根管治療で全ての歯が治癒することはありません。

  再治療することで抜歯のリスクを高めたり、症状の悪化や最悪の場合死亡するリスクがあります。

 

2017.04.05 CT_R23.jpg

2017.04.05 CT 02_R23.jpg

CTデータから合成したパノラマ レントゲン写真です。 

9個の金属除去

2本の根管治療

9個のセラミック修復

3個のコンポジットレジン充填 を行いました。

治療期間は2016年5月31日~2017年4月05日で、

治療回数は23回でした。

※治療費についてはこちらのページをご覧ください。

 

N・Hさん、抜歯に至る歯がなかったことが私もとても嬉しいです。

これからは寂しくなりますが、クリーニングでまたお待ちしております。

すべてはご決断の賜物です。

 

 ※セラミック修復は割れる可能性があり、それを飲み込んだ場合、消化器系に甚大な損傷を与えたり

 誤嚥した場合は呼吸器系に損傷を与えるリスクがあり、最悪の場合死亡することが考えられます。

 

 もしよろしければ

ブログランキングに投票のため、このリンクのクリックお願いいたします。

 

ご相談はお気軽にこちらからどうぞ。

広島市の自由診療専門の歯科医院 三好デンタルオフィス

厚生労働省 医療広告ガイドライン に沿うための記述

すべての歯科治療は、治療行為によって治癒や改善が約束されているわけではなく、状態の悪化や後遺症の発生、抜歯や死亡を招くリスクを伴います。※治療費用の例示・根管治療を伴う普通再治療約20万円(かぶせもの除去・メタルコア除去・根管治療・根管充填・レントゲン・支台築造・かぶせもの)・普通セラミックつめもの約6万円・普通セラミックかぶせもの約8万円・普通セラミック前歯約13万円・普通抜歯約1.7万円・普通レジン充填約1万円(税抜)

Recommendあなたへオススメ記事