三好デンタルオフィス
Metal Free DC Presented by Miyoshi Detal Office

Blog&Newsブログ & ニュース

厚生労働省 医療広告ガイドラインに沿うために記述
すべての歯科治療は、治療行為によって治療や改善が約束されているわけではなく、状態の悪化や後遺症の発生、抜歯や死亡を招くリスクを伴います。
※治療費用の例示・根本治療を伴う普通再治療約20万(かぶせものの除去・メタルコア除去・根管治療・根管充填・レントゲン・支台築造・かぶせもの)・普通セラミックつめもの約6万円・普通セラミックかぶせもの約8万円・普通セラミック前歯約13万円・普通抜歯約1.7万円・普通レジン充填約1万円(税抜)
2017/07/15審美治療広島

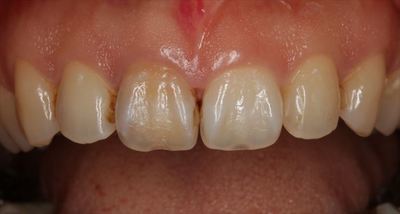
前歯の支台築造と仮歯の作成をしました。2017.07.15

 

IMG_2739_R23.JPG

画像向かって中央左側の右側中切歯は過去に神経を取る処置がなされており変色が見られます。

この歯の治療を含めて全体の治療をご希望です。

 

IMG_2744_R23.JPG

上顎前歯口蓋側ののミラー像です。

かなり大きな穴がレジン系の充填物によって埋められています。

つまりその分だけ歯質が失われていますので、

支台築造してセラミックのかぶせ物を接着する治療方法を選択しました。

 

再根管治療時の記事はこちらです。

右上中切歯の再根管治療を行いました。2017.07.01

 

IMG_7779_R23.JPG

本日、ファイバーポストとコンポジットレジンによる支台築造を行い仮歯を製作します。

両サイドの歯の隣接面は次回治療します。

 

IMG_7785_R23.JPG

とりあへずプラスチック(即時重合レジン)の仮歯を私がその場で製作して仮着(仮度め)しました。

 

前歯の審美的な治療方法にはいろいろありますが

残存歯質の量は治療方法選択の重要な要素です。

根管治療がかつて行われている歯の場合、内部の「くりぬき」量が多いと強度は落ちてしまいます。

最悪の場合、折れてしまうことも考えられますので注意が必要です。

また、変色が強い場合はラミネートベニヤでは歯の色の遮蔽が出来ないこともあります。

弊オフィスでは不可逆的な治療を開始する前にはとことんご説明しています。

「とりあへず削ってスタートする」ことはありません。

 

I・Hさん、次回のコンポジットレジン修復も楽しみです。

 

もしよろしければ

ブログランキングに投票のため、このリンクのクリックお願いいたします。

 

ご相談はお気軽にこちらからどうぞ。

広島市の自由診療専門の歯科医院 三好デンタルオフィス

厚生労働省 医療広告ガイドライン に沿うための記述

すべての歯科治療は、治療行為によって治癒や改善が約束されているわけではなく、状態の悪化や後遺症の発生、抜歯や死亡を招くリスクを伴います。※治療費用の例示・根管治療を伴う普通再治療約20万円(かぶせもの除去・メタルコア除去・根管治療・根管充填・レントゲン・支台築造・かぶせもの)・普通セラミックつめもの約6万円・普通セラミックかぶせもの約8万円・普通セラミック前歯約13万円・普通抜歯約1.7万円・普通レジン充填約1万円(税抜)

Recommendあなたへオススメ記事