三好デンタルオフィス
Metal Free DC Presented by Miyoshi Detal Office

Blog&Newsブログ & ニュース

厚生労働省 医療広告ガイドラインに沿うために記述
すべての歯科治療は、治療行為によって治療や改善が約束されているわけではなく、状態の悪化や後遺症の発生、抜歯や死亡を招くリスクを伴います。
※治療費用の例示・根本治療を伴う普通再治療約20万(かぶせものの除去・メタルコア除去・根管治療・根管充填・レントゲン・支台築造・かぶせもの)・普通セラミックつめもの約6万円・普通セラミックかぶせもの約8万円・普通セラミック前歯約13万円・普通抜歯約1.7万円・普通レジン充填約1万円(税抜)
2017/07/29セラミック治療

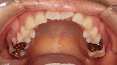
メタルフリー治療の完成です。2017.07.29

K・Mさんのメタルフリー治療がついに完成です。


IMG_62fsd48_R23.JPG

IMG_8324_R23.JPG

左上第一大臼歯は歯根破折のため、インプラント治療を行っています。

 

IMG_62fsfs49_R23.JPG

IMG_8321_R23.JPG

当然のことながら、白い歯は素敵です。

しかし、普通の状態ともいえます。 

 

 白い歯を白く治すことが贅沢であるとすれば、

 色を合わせて車を修理することは贅沢の極みと言わざるを得ません。

 

 K・Mさん、ついに元の状態に戻っていただけました!

すべてはご決断の賜物です。

 

もしよろしければ

ブログランキングに投票のため、このリンクのクリックお願いいたします。

 

ご相談はお気軽にこちらからどうぞ。

広島市の自由診療専門の歯科医院 三好デンタルオフィス

厚生労働省 医療広告ガイドライン に沿うための記述

すべての歯科治療は、治療行為によって治癒や改善が約束されているわけではなく、状態の悪化や後遺症の発生、抜歯や死亡を招くリスクを伴います。※治療費用の例示・根管治療を伴う普通再治療約20万円(かぶせもの除去・メタルコア除去・根管治療・根管充填・レントゲン・支台築造・かぶせもの)・普通セラミックつめもの約6万円・普通セラミックかぶせもの約8万円・普通セラミック前歯約13万円・普通抜歯約1.7万円・普通レジン充填約1万円(税抜)

Recommendあなたへオススメ記事