三好デンタルオフィス
Metal Free DC Presented by Miyoshi Detal Office

Blog&Newsブログ & ニュース

厚生労働省 医療広告ガイドラインに沿うために記述
すべての歯科治療は、治療行為によって治療や改善が約束されているわけではなく、状態の悪化や後遺症の発生、抜歯や死亡を招くリスクを伴います。
※治療費用の例示・根本治療を伴う普通再治療約20万(かぶせものの除去・メタルコア除去・根管治療・根管充填・レントゲン・支台築造・かぶせもの)・普通セラミックつめもの約6万円・普通セラミックかぶせもの約8万円・普通セラミック前歯約13万円・普通抜歯約1.7万円・普通レジン充填約1万円(税抜)
2017/12/16根管治療広島

内部がドロドロになっていた左下第一大臼歯の根管充填を行いました。2017.12.16

 

下記のブログ記事に書きました左下第一大臼歯の根管充填を本日ついに行いました。(レントゲン画像中央)

根管内部がドロドロになっていた左下第一大臼歯の再根管治療 2017.10.24

根尖からの排濃が続きましたが本日仮封を外すと治まっていましたので根管充填しました。

 

IMG_4459_R24.JPG

最終ファイルサイズを電気的根管長測定(EMR)を行い決定します。

 

IMG_4462_R24.JPG

サーマフィルによる垂直加圧根管充填を行いました。

 

IMG_4463_R24.JPG

サーマカットでサーマフィルのキャリアーをカットしました。

ポリスルホン樹脂の黒いコアの周りにオレンジ色のガッタパーチャが存在し、目玉焼きのようになっています。

 

 

2017.12.16_2R24.jpg

 

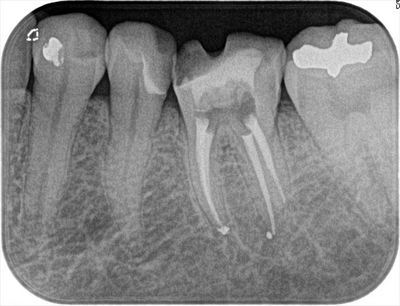
 根管充填後のデンタルレントゲン写真です。

4根管をそれぞれ根管充填しています。

 

U・Tさん、根管治療シリーズ第3弾のこの歯は、なかなかの強敵でしたが排濃が治まって安心しました。

残っている最後の1本の根管治療も無事に終わることを願っています。 

 

もしよろしければ

ブログランキングに投票のため、このリンクのクリックお願いいたします。

 

ご相談はお気軽にこちらからどうぞ。  

広島市の自由診療専門の歯科医院 三好デンタルオフィス

厚生労働省 医療広告ガイドライン に沿うための記述

すべての歯科治療は、治療行為によって治癒や改善が約束されているわけではなく、状態の悪化や後遺症の発生、抜歯や死亡を招くリスクを伴います。※治療費用の例示・根管治療を伴う普通再治療約20万円(かぶせもの除去・メタルコア除去・根管治療・根管充填・レントゲン・支台築造・かぶせもの)・普通セラミックつめもの約6万円・普通セラミックかぶせもの約8万円・普通セラミック前歯約13万円・普通抜歯約1.7万円・普通レジン充填約1万円(税抜)

Recommendあなたへオススメ記事