三好デンタルオフィス
Metal Free DC Presented by Miyoshi Detal Office

Blog&Newsブログ & ニュース

厚生労働省 医療広告ガイドラインに沿うために記述
すべての歯科治療は、治療行為によって治療や改善が約束されているわけではなく、状態の悪化や後遺症の発生、抜歯や死亡を招くリスクを伴います。
※治療費用の例示・根本治療を伴う普通再治療約20万(かぶせものの除去・メタルコア除去・根管治療・根管充填・レントゲン・支台築造・かぶせもの)・普通セラミックつめもの約6万円・普通セラミックかぶせもの約8万円・普通セラミック前歯約13万円・普通抜歯約1.7万円・普通レジン充填約1万円(税抜)
2018/05/16口腔外科処置

歯根破折した左下第二小臼歯を抜歯しました。2018.05.16

 

2018.05.16_R25.jpg

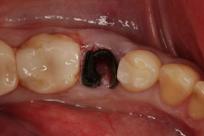
左下第二小臼歯が残念ながら歯根破折を起こしています。

 

IMG_0688_R25.JPG

実際の左下第二小臼歯の状態です。

とても黒く変色しています。

 

IMG_0704_R25.JPG

抜歯を終えました。

内部にはたくさんの肉芽組織が存在していますので丁寧に除去します。

 

IMG_0711_R25.JPG

抜歯した歯根です。

 

IMG_0720_R25.JPG

こちらの記事と同じようにソケットプリザーベーションを行います。

左下第一大臼歯の抜歯とソケットプリザーベーションを行いました。2018.05.12

 

IMG_0726_R25.JPG

縫合を終えました。

 

T・Tさん、怖かったと思いますがよくぞ乗り越えられました! 

 

※抜歯及びソケットプリザーベーションの費用は約15万円です。

※外科処置につき、術後感染が起こる可能性があります。

 

もしよろしければ

ブログランキングに投票のため、このリンクのクリックお願いいたします。


ご相談はお気軽にこちらからどうぞ。 

 広島市の自由診療専門の歯科医院 三好デンタルオフィス

厚生労働省 医療広告ガイドライン に沿うための記述

すべての歯科治療は、治療行為によって治癒や改善が約束されているわけではなく、状態の悪化や後遺症の発生、抜歯や死亡を招くリスクを伴います。※治療費用の例示・根管治療を伴う普通再治療約20万円(かぶせもの除去・メタルコア除去・根管治療・根管充填・レントゲン・支台築造・かぶせもの)・普通セラミックつめもの約6万円・普通セラミックかぶせもの約8万円・普通セラミック前歯約13万円・普通抜歯約1.7万円・普通レジン充填約1万円(税抜)

Recommendあなたへオススメ記事