三好デンタルオフィス
Metal Free DC Presented by Miyoshi Detal Office

Blog&Newsブログ & ニュース

厚生労働省 医療広告ガイドラインに沿うために記述
すべての歯科治療は、治療行為によって治療や改善が約束されているわけではなく、状態の悪化や後遺症の発生、抜歯や死亡を招くリスクを伴います。
※治療費用の例示・根本治療を伴う普通再治療約20万(かぶせものの除去・メタルコア除去・根管治療・根管充填・レントゲン・支台築造・かぶせもの)・普通セラミックつめもの約6万円・普通セラミックかぶせもの約8万円・普通セラミック前歯約13万円・普通抜歯約1.7万円・普通レジン充填約1万円(税抜)
2018/05/24根管治療広島

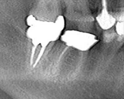
右下大臼歯2本の再根管治療を行いました。2018.05.24

 

00705_2017_09_01_CT_R25.jpg

右下第一大臼歯と第二大臼歯の金属を除去し、再根管治療を行います。

 

IMG_1091_R25.JPG

IMG_1092_R25.JPG

電気的根管長測定(EMR)の場面です。

 

IMG_1093_R25.JPG

第一大臼歯の根管充填は前回までに終えており、本日は第二大臼歯をサーマフィルによる垂直加圧根管充填を行いました。

 

2018.05.24 01_R25.jpg

根管充填後に撮影したデンタルX線写真です。 

 

N・Sさん、二本の根管治療おつかれさまでした。

後で痛みが出るかもしれませんのでお大事に。

 

※2本の歯の金属の除去、仮歯の作成、再根管治療、再根管充填を行ったところまで治療回数5回、費用は2本で約20万円です。

※根管充填後には違和感が出る可能性があります。

 

もしよろしければ

ブログランキングに投票のため、このリンクのクリックお願いいたします。

 

ご相談はお気軽にこちらからどうぞ。 

広島市の自由診療専門の歯科医院 三好デンタルオフィス

厚生労働省 医療広告ガイドライン に沿うための記述

すべての歯科治療は、治療行為によって治癒や改善が約束されているわけではなく、状態の悪化や後遺症の発生、抜歯や死亡を招くリスクを伴います。※治療費用の例示・根管治療を伴う普通再治療約20万円(かぶせもの除去・メタルコア除去・根管治療・根管充填・レントゲン・支台築造・かぶせもの)・普通セラミックつめもの約6万円・普通セラミックかぶせもの約8万円・普通セラミック前歯約13万円・普通抜歯約1.7万円・普通レジン充填約1万円(税抜)

Recommendあなたへオススメ記事