三好デンタルオフィス
Metal Free DC Presented by Miyoshi Detal Office

Blog&Newsブログ & ニュース

厚生労働省 医療広告ガイドラインに沿うために記述
すべての歯科治療は、治療行為によって治療や改善が約束されているわけではなく、状態の悪化や後遺症の発生、抜歯や死亡を招くリスクを伴います。
※治療費用の例示・根本治療を伴う普通再治療約20万(かぶせものの除去・メタルコア除去・根管治療・根管充填・レントゲン・支台築造・かぶせもの)・普通セラミックつめもの約6万円・普通セラミックかぶせもの約8万円・普通セラミック前歯約13万円・普通抜歯約1.7万円・普通レジン充填約1万円(税抜)
2018/11/27口腔外科処置

破折し歯根吸収した右上前歯を抜歯しソケットプリザーベーションしました。2018.11.27

 

IMG_9031_R25.JPG

右上中切歯が過去に歯根破折したものの、なんとか今日を迎えています。

かぶせものがセットされていますが、セット時に揃っていたと思われる切縁は挺出により長く見える状態です。

大阪府からのお越しです。

 

 2018.11.13 CT_R25.jpg

オフィス内の歯科用CTによる断面です。

歯根の右側面及び口蓋測がかなり吸収しています。

破折したものの癒合しているように見えます。

抜歯してインプラント治療をご希望です。

ご年齢を鑑みましても審美性の回復と今後の長期予後が良好であることが重要です。

いつも負けられない闘いですが、状況を考えますと力が入ります。

お住まいの場所によって、治療の質に差はありませんが、

治療回数や、段取り、治療と治療の間に問題が起きないように

弊オフィスは過去のご遠方の方の治療の際の様々なノウハウを蓄積しています。

 

IMG_9034_R25.JPG

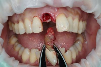
いよいよ本日から治療開始です。

まずは無事に抜歯を終えました。

 

IMG_9043_R25.JPG

IMG_9045_R25.JPG

IMG_9047_R25.JPG

歯根の状況から、歯髄の活性が高い時代に折れて癒合していることが考えられます。

いままでお疲れさまでした、と声を掛けたくなります。

 

IMG_9050_R25.JPG

内部の炎症性の不良肉芽を除去し、

ソケットプリザーベーションのために頬側・口蓋測歯肉を剥離しエンベロープを形成しました。

 

 IMG_9065_R25.JPG

骨移植材(人工骨)とd-PTFE膜であるサイトプラスト メンブレン でソケットプリザーベーションを行います。

ソケットプリザーベーションとは抜歯後の歯槽骨の吸収(廃用性萎縮)をできるだけ防ぐための処置です。

治癒後にインプラントを埋入する際に有利になるように行います。

インプラントの埋入時に必要であればさらに人工骨を増やしGBRを行ったり、埋入後に歯肉の豊隆が不足しているようであれば歯肉の移植を行います。

「やれることはすべてやる」ケースです。

 

IMG_9070_R25.JPG

サイトプラストをエンベロープ内に挿入してポリ乳酸製の吸収性の縫合糸で縫合しました。

内容物の量やサイトプラストのサイズ、入れ方にノウハウが必要です。

 

IMG_9074_R25.JPGのサムネール画像

プラスチックの仮歯を両サイドの隣在歯に接着して本日の処置の完了です。

当然ですが、すべての処置を私が行っています。

 

F・Sさん、大阪府からのお越しはかなりの決意が必要だったことと思います。

「本来の姿」を取り戻し、マスク無しで笑っていただける日のため弊オフィスの全力を尽くします。

 

もしよろしければ 

ブログランキングに投票のため、このリンクのクリックお願いいたします。

 

ご相談はお気軽にこちらからどうぞ。 

広島市の自由診療専門の歯科医院 三好デンタルオフィス

厚生労働省 医療広告ガイドライン に沿うための記述

すべての歯科治療は、治療行為によって治癒や改善が約束されているわけではなく、状態の悪化や後遺症の発生、抜歯や死亡を招くリスクを伴います。※治療費用の例示・根管治療を伴う普通再治療約20万円(かぶせもの除去・メタルコア除去・根管治療・根管充填・レントゲン・支台築造・かぶせもの)・普通セラミックつめもの約6万円・普通セラミックかぶせもの約8万円・普通セラミック前歯約13万円・普通抜歯約1.7万円・普通レジン充填約1万円(税抜)

Recommendあなたへオススメ記事