三好デンタルオフィス
Metal Free DC Presented by Miyoshi Detal Office

Blog&Newsブログ & ニュース

厚生労働省 医療広告ガイドラインに沿うために記述
すべての歯科治療は、治療行為によって治療や改善が約束されているわけではなく、状態の悪化や後遺症の発生、抜歯や死亡を招くリスクを伴います。
※治療費用の例示・根本治療を伴う普通再治療約20万(かぶせものの除去・メタルコア除去・根管治療・根管充填・レントゲン・支台築造・かぶせもの)・普通セラミックつめもの約6万円・普通セラミックかぶせもの約8万円・普通セラミック前歯約13万円・普通抜歯約1.7万円・普通レジン充填約1万円(税抜)
2018/12/21根管治療広島

左下大臼歯の金属を除去し、再根管治療を終えました。2018.12.21

 

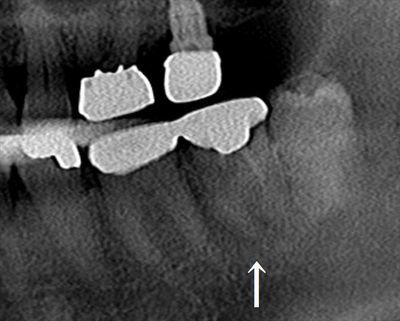
CT_20181222231915_R25.jpg

矢印の左下第二大臼歯の金属を除去し、再根管治療を行います。

画像右隣の左下親知らずは抜歯予定です。

 

IMG_8698_R25.JPG

実際のおくちです。

左下第二大臼歯にはメタルボンド(陶材焼き付け金属冠)がセットされています。

表面の陶材は既に欠けています。

 

IMG_8699_R25.JPG

まずはメタルボンドクラウンを除去しました。

内部のメタルコアが見えています。

 

IMG_8700_R25.JPG

IMG_8701_R25.JPG

除去したメタルボンドクラウンです。

周囲からの漏洩を疑わせます。

 

IMG_8702_R25.JPG

メタルコアの除去も終えました。

 

IMG_0535_R25.JPG

再根管治療を行い、3根管とも根尖まで攻略出来ました。

 

IMG_0540_R25.JPG

痛みや排膿など無く経過しましたので、薬液洗浄後に超音波水流でリンスし、滅菌ペーパーポイントで吸水乾燥します。

 

IMG_0541_R25.JPG

サーマフィルにで垂直加圧根管充填を行いました。

 

IMG_0546_R25.JPG

余分なキャリアーをカットしました。 

 

2018.12.21_R25.jpg

根管充填後のデンタルレントゲン写真です。

根尖まで充填出来て安堵する瞬間です。 

過去の治療が手つかずに近い状態である方が再治療は容易です。

湾曲根管であれば尚更です。

 

T・Jさん、少し痛みが出るかもしれませんのでお大事に。

 

もしよろしければ

ブログランキングに投票のため、このリンクのクリックお願いいたします。

 

ご相談はお気軽にこちらからどうぞ。 

広島市の自由診療専門の歯科医院 三好デンタルオフィス

厚生労働省 医療広告ガイドライン に沿うための記述

すべての歯科治療は、治療行為によって治癒や改善が約束されているわけではなく、状態の悪化や後遺症の発生、抜歯や死亡を招くリスクを伴います。※治療費用の例示・根管治療を伴う普通再治療約20万円(かぶせもの除去・メタルコア除去・根管治療・根管充填・レントゲン・支台築造・かぶせもの)・普通セラミックつめもの約6万円・普通セラミックかぶせもの約8万円・普通セラミック前歯約13万円・普通抜歯約1.7万円・普通レジン充填約1万円(税抜)

Recommendあなたへオススメ記事