三好デンタルオフィス
Metal Free DC Presented by Miyoshi Detal Office

Blog&Newsブログ & ニュース

厚生労働省 医療広告ガイドラインに沿うために記述
すべての歯科治療は、治療行為によって治療や改善が約束されているわけではなく、状態の悪化や後遺症の発生、抜歯や死亡を招くリスクを伴います。
※治療費用の例示・根本治療を伴う普通再治療約20万(かぶせものの除去・メタルコア除去・根管治療・根管充填・レントゲン・支台築造・かぶせもの)・普通セラミックつめもの約6万円・普通セラミックかぶせもの約8万円・普通セラミック前歯約13万円・普通抜歯約1.7万円・普通レジン充填約1万円(税抜)
2019/03/12セラミック治療

左上第二大臼歯の金属を除去しセラミック修復しました。2019.03.12

IMG_4346_R25.JPG

O・Yさんの左上第二大臼歯(右端)の金属を除去し、セラミック修復を行います。

画像中央と左端の歯は過去に受けられた治療です。

 

IMG_4348_R25.JPG

ラバーダムを装着してガードしてから、まずは金属を除去しました。

内部の状態は想像を超えています。

このような形状の金属の場合、かなりの確率で頬側が漏洩しています。

むし歯になってしまったところを治療したにも関わらず、内部がこのようになってしまうのであれば肯定することはできません。

弊オフィスが保険指定医療機関を辞退し、天然歯に対する金属治療を完全に廃止している所以です。

 

IMG_4363_R25.JPG

除去した金属の内部です。

唾液・細菌・食渣が自由に往来していたことが予測されます。 

 

IMG_4352_R25.JPG

う蝕検知液で軟化象牙質を染色し、顕微鏡下で切削し、コンポジットレジンでデンティンシールを終えました。 

 

IMG_4354_R25.JPG

セレックでスキャニングし、迅速にセラミック修復物のデザインを行います。

 

IMG_4357_R25.JPG

セラミック修復物(セラミックインレー)の削り出し(ミリング)を終えました。

セレック無しでの歯科臨床は、今の私にはもはや不可能です。

 

IMG_4358_R25.JPG

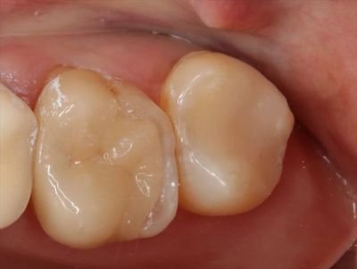
口腔内の湿度をコントロールしながら接着し、咬合調整と仕上げ研磨を終えました。 

 

O・Yさん、想定以上の内部の状況でしたが、この段階で良かったですね。

 

もしよろしければ

ブログランキングに投票のため、このリンクのクリックお願いいたします。

 

ご相談はお気軽にこちらからどうぞ。 

広島市の自由診療専門の歯科医院 三好デンタルオフィス

厚生労働省 医療広告ガイドライン に沿うための記述

すべての歯科治療は、治療行為によって治癒や改善が約束されているわけではなく、状態の悪化や後遺症の発生、抜歯や死亡を招くリスクを伴います。※治療費用の例示・根管治療を伴う普通再治療約20万円(かぶせもの除去・メタルコア除去・根管治療・根管充填・レントゲン・支台築造・かぶせもの)・普通セラミックつめもの約6万円・普通セラミックかぶせもの約8万円・普通セラミック前歯約13万円・普通抜歯約1.7万円・普通レジン充填約1万円(税抜)

Recommendあなたへオススメ記事