三好デンタルオフィス
Metal Free DC Presented by Miyoshi Detal Office

Blog&Newsブログ & ニュース

厚生労働省 医療広告ガイドラインに沿うために記述
すべての歯科治療は、治療行為によって治療や改善が約束されているわけではなく、状態の悪化や後遺症の発生、抜歯や死亡を招くリスクを伴います。
※治療費用の例示・根本治療を伴う普通再治療約20万(かぶせものの除去・メタルコア除去・根管治療・根管充填・レントゲン・支台築造・かぶせもの)・普通セラミックつめもの約6万円・普通セラミックかぶせもの約8万円・普通セラミック前歯約13万円・普通抜歯約1.7万円・普通レジン充填約1万円(税抜)
2019/06/19根管治療広島

歯の周囲約1/3が失われていた奥歯の根管治療を行いました。2019.06.19

左上第一大臼歯の近心から口蓋測にかけて割れてしまったのか歯質が失われており、健全歯質は歯肉縁下に存在しています。

 

IMG_1895_R26.JPG

角度を変えて見てみますと、歯肉が歯に覆い被さるような状態です。

 

CT_20190619220050_R26.jpg

レントゲン画像です。(矢印部分が左上第一大臼歯)

過去に神経の処置をしてある失活歯です。

 

IMG_6192_R26.JPG

このままでは歯肉と歯の関係が不適切であり、根管治療中の封鎖が不確実になる可能性が高いため、

セレックを用いてセラミックで隔壁を形成することとします。

画像は顕微鏡下で余分な歯肉を取り除き、う蝕検知液で軟化象牙質を染めて切削し、健全歯質を露出させた状態です。

 

IMG_6193_R26.JPG

十分に止血したのちにパウダリングしてセレックでスキャンします。

 

IMG_6194_R26.JPG

コンピューター上でセラミック修復物を製作します。

 

IMG_6195_R26.JPG

セラミックブロックからミリング(削り出し)します。

 

IMG_6197_R26.JPG

削り出し(ミリング)を終えました。

 

IMG_6199_R26.JPG

まずはセラミックインレーと同じように接着して下準備は完了です。

 

IMG_6866_R26.JPG

ここからは再根管治療を行います。

ラバーダムを装着し、根管口が見えるようにセラミック部分を切削していきます。

 

IMG_9272_R26.JPG

咬合面中央部の切削を終え、髄床底と根管口が3つ見えてきました。

 

IMG_9273_R26.JPG

ここからは通常通りの再根管治療です。

3根とも根尖(歯根の先端)まで攻略できました。

写真は電気的根管長測定を行っている場面です。

 

IMG_9275_R26.JPG

薬液洗浄を行いペーパーポイントで吸水乾燥します。

次回、排膿など無ければ根管充填を行います。

 

IMG_9276_R26.JPG

そして本日、排膿や問題のある痛みなど無かったため、サーマフィルによる垂直加圧根管充填を行いました。

 

IMG_9278_R26.JPG

余分なキャリアーをカットしました。

次回、問題なければ中央部分をコンポジットレジンで封鎖し、改めてセラミック修復を行います。

失われている部分の規模と、遠心部分のヒビを考えますと、かぶせものタイプで修復することが望ましいと考えます。

 

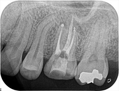
2019.06.19_R26.jpg

垂直加圧根管充填を行ったあとのデンタルX線画像です。

 

O・Rさん、最初はどのくらいダメージがあるのか心配でしたが、健全歯質がきちんと残っていて幸運でした。

 

もしよろしければ

ブログランキングに投票のため、このリンクのクリックお願いいたします。

 

ご相談はお気軽にこちらからどうぞ。 

 広島市の自由診療専門の歯科医院 三好デンタルオフィス

厚生労働省 医療広告ガイドライン に沿うための記述

すべての歯科治療は、治療行為によって治癒や改善が約束されているわけではなく、状態の悪化や後遺症の発生、抜歯や死亡を招くリスクを伴います。※治療費用の例示・根管治療を伴う普通再治療約20万円(かぶせもの除去・メタルコア除去・根管治療・根管充填・レントゲン・支台築造・かぶせもの)・普通セラミックつめもの約6万円・普通セラミックかぶせもの約8万円・普通セラミック前歯約13万円・普通抜歯約1.7万円・普通レジン充填約1万円(税抜)

Recommendあなたへオススメ記事