三好デンタルオフィス
Metal Free DC Presented by Miyoshi Detal Office

Blog&Newsブログ & ニュース

厚生労働省 医療広告ガイドラインに沿うために記述
すべての歯科治療は、治療行為によって治療や改善が約束されているわけではなく、状態の悪化や後遺症の発生、抜歯や死亡を招くリスクを伴います。
※治療費用の例示・根本治療を伴う普通再治療約20万(かぶせものの除去・メタルコア除去・根管治療・根管充填・レントゲン・支台築造・かぶせもの)・普通セラミックつめもの約6万円・普通セラミックかぶせもの約8万円・普通セラミック前歯約13万円・普通抜歯約1.7万円・普通レジン充填約1万円(税抜)
2019/09/26審美治療広島

上顎の前歯3本のセラミック審美治療を行いました。2019.09.26

IMG_8795_R26.JPG

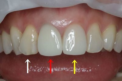
上顎の前歯の治療前の状態です。

白矢印の右上側切歯は失活(神経=歯髄が死んでいる)しています。

赤矢印の右上中切歯にはセラミッククラウンがセットされています。

光の透過性の問題から、歯ぐきが暗く灰色に見えます。

黄矢印の左上中切歯にはラミネートベニヤがセットされています。

 

IMG_3706_R26.JPG

口蓋側ミラー像です。

矢印の色が正面からの写真と対応しています。

 

 2019.05.30 02_R26.jpg

まずは右上側切歯(白矢印)の根管治療を行いました。

この際の記事はこちらです。

神経が死んだ右上前歯の根の治療を行いました。2019.05.30

赤矢印の右上中切歯の内部には過去のメタルコアの残りが存在しています。(はっきりと白い部分)

黄矢印の左上中切歯のラミネートベニヤには接合部のギャップ(隙間)が存在しています。 

 

2019.07.10 02_R26.jpg

続いて右上中切歯(赤矢印)のメタルコアの残存した部分の除去と再根管治療を行いました。

 

IMG_4141_R26.JPG

右上側切歯と中切歯の支台支台築造と、左上中切歯(生活歯)のラミネートベニヤを除去し、

支台歯形成を終え、仮歯の状態で完成へのイメージを練り上げます。

 

IMG_4135_R26.JPG

仮歯のイメージをさらにブラッシュアップし、より天然歯との色調の調和を目指しセラミッククラウンを製作します。

 

IMG_4142_R26.JPG

入念に試適し、色調の修正を行ったあと、いよいよセットします。

ラバーシートで防湿し、接着します。

接着時には水分と水蒸気は最大の敵です。

 

IMG_4145_R26.JPG

光照射器で光重合レジンセメントを硬化させます。

天然の歯に近い光の透過性であることが判ります。

 

 

IMG_4147_R26.JPG

セット直後の状態です。

 

IMG_4149_R26.JPG

口蓋側のミラー像です。

3本のセラミックの歯に隣接する右上犬歯と左上側切歯の隣接面にあった古いコンポジットレジン充填も再治療しています。

このタイミングでの隣接部分の再治療が最も良いタイミングと考えます。 

 

S・Mさん、喜んでいただけて私も嬉しいです。

 

ご相談はお気軽にこちらからどうぞ。 

広島市の自由診療専門の歯科医院 三好デンタルオフィス

厚生労働省 医療広告ガイドライン に沿うための記述

すべての歯科治療は、治療行為によって治癒や改善が約束されているわけではなく、状態の悪化や後遺症の発生、抜歯や死亡を招くリスクを伴います。※治療費用の例示・根管治療を伴う普通再治療約20万円(かぶせもの除去・メタルコア除去・根管治療・根管充填・レントゲン・支台築造・かぶせもの)・普通セラミックつめもの約6万円・普通セラミックかぶせもの約8万円・普通セラミック前歯約13万円・普通抜歯約1.7万円・普通レジン充填約1万円(税抜)

Recommendあなたへオススメ記事