三好デンタルオフィス
Metal Free DC Presented by Miyoshi Detal Office

Blog&Newsブログ & ニュース

厚生労働省 医療広告ガイドラインに沿うために記述
すべての歯科治療は、治療行為によって治療や改善が約束されているわけではなく、状態の悪化や後遺症の発生、抜歯や死亡を招くリスクを伴います。
※治療費用の例示・根本治療を伴う普通再治療約20万(かぶせものの除去・メタルコア除去・根管治療・根管充填・レントゲン・支台築造・かぶせもの)・普通セラミックつめもの約6万円・普通セラミックかぶせもの約8万円・普通セラミック前歯約13万円・普通抜歯約1.7万円・普通レジン充填約1万円(税抜)
2019/10/26口腔外科処置

下顎の親知らずの抜歯後10&11カ月後の状態です。2019.10.26

CT_20191026235240_R26.jpg

下顎左右の親知らずを抜歯します。

 

IMG_8899_R261.JPG

2018.11.24 右下の親知らずを抜歯します。

 

 IMG_8905_R261.JPG

2018.11.24 粘膜を剥離後、親知らずを分割します。

 

IMG_8914_R261.JPG

2018.11.24 無事に抜歯を終えました。

 

IMG_8919_R261.JPG

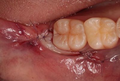
2018.11.24 吸収性の糸で縫合しました。

 

IMG_5777_R261.JPG

2019.10.26 抜歯後11カ月の状態です。

 




続いて左下の親知らずの抜歯後の経過です。

IMG_0174_R261.JPG

2018.12.15

 

IMG_0183_R261.JPG

2018.12.15

 

IMG_0193_R261.JPG

2018.12.15

 

2018.12.15

 

IMG_5776_R261.JPG

2019.10.26 抜歯後10カ月の状態です。

 

J・Sさん、山口県からのお越しに恐縮です。

無事に治癒しておられ安心いたしました。

 

ご相談はお気軽にこちらからどうぞ。 

 広島市の自由診療専門の歯科医院 三好デンタルオフィス

 

厚生労働省 医療広告ガイドライン に沿うための記述

すべての歯科治療は、治療行為によって治癒や改善が約束されているわけではなく、状態の悪化や後遺症の発生、抜歯や死亡を招くリスクを伴います。※治療費用の例示・根管治療を伴う普通再治療約20万円(かぶせもの除去・メタルコア除去・根管治療・根管充填・レントゲン・支台築造・かぶせもの)・普通セラミックつめもの約6万円・普通セラミックかぶせもの約8万円・普通セラミック前歯約13万円・普通抜歯約1.7万円・普通レジン充填約1万円(税抜)

Recommendあなたへオススメ記事