三好デンタルオフィス
Metal Free DC Presented by Miyoshi Detal Office

Blog&Newsブログ & ニュース

厚生労働省 医療広告ガイドラインに沿うために記述
すべての歯科治療は、治療行為によって治療や改善が約束されているわけではなく、状態の悪化や後遺症の発生、抜歯や死亡を招くリスクを伴います。
※治療費用の例示・根本治療を伴う普通再治療約20万(かぶせものの除去・メタルコア除去・根管治療・根管充填・レントゲン・支台築造・かぶせもの)・普通セラミックつめもの約6万円・普通セラミックかぶせもの約8万円・普通セラミック前歯約13万円・普通抜歯約1.7万円・普通レジン充填約1万円(税抜)
2019/11/26審美治療広島

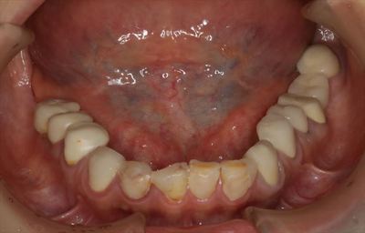
上下顎全体の治療が終了しました。2019.11.26

IMG_6899_R26.JPG

初診時の状態です。(2019.05.10)

 

IMG_8038_R26.JPG

上顎はすべての歯がホープレスと判断し、抜歯しました。(2019.05.29)

抜歯後の歯肉が完全に治癒して落ち着くまでは総義歯とし、その後ご希望であればインプラント治療を行います。

 

IMG_6909_R26.JPG

下顎は咬合平面の是正とホープレスの歯の抜歯、インプラントの埋入、再根管治療、セラミックのかぶせもののセットを行います。

 

IMG_3539_R26.JPG

右下奥歯のインプラント治療の様子です。(2019.09.17)

 

IMG_3540_R26.JPG

ジルコニアカスタムアバットメントを締結した段階です。(2019.09.17)

 

IMG_7419_R26.JPG

完成時の状態です。(2019.11.26)

 

IMG_7415_R26.JPG

完成時の状態です。(2019.11.26)

上顎の総義歯は何を噛んでも痛くない状態です。

外れてしゃべりにくいこともありません。

 

IMG_6899_R26.JPG

初診時(2019.05.10)

 

IMG_7213_R26.JPG

この笑顔を見せていただくと、歯科医師冥利に尽きます。 

 

※上顎総義歯の製作を除き、セラミックの歯の製作を含め、すべての治療・技工操作を私が行っています。

※週2回程度のご来院です。治療費用は数百万円です。

※総義歯の治療はとても得意としていますのでご相談ください。

 (上下顎の総義歯製作:100万円+税程度。旧義歯によるコンディショニングから型取りや仮合わせを含む)

 (総義歯の治療費は素材・材料の費用ではなく、適合させるための技術料です)

※ただし、総義歯でない「部分入れ歯」は残っている歯に負担をかけ、

歯の寿命を縮める「抜歯装置もしくは時限爆弾的な罠」と考えていますので行いません。

部分入れ歯が必要な部分には適切なインプラントが妥当と考えます。

 

M・Cさん、ついに完成ですね。

半年間、よくぞ頑張られました!すべてはご決断の賜物です!

 

ご相談はお気軽にこちらからどうぞ。

広島市の自由診療専門の歯科医院 三好デンタルオフィス

 

厚生労働省 医療広告ガイドライン に沿うための記述

すべての歯科治療は、治療行為によって治癒や改善が約束されているわけではなく、状態の悪化や後遺症の発生、抜歯や死亡を招くリスクを伴います。※治療費用の例示・根管治療を伴う普通再治療約20万円(かぶせもの除去・メタルコア除去・根管治療・根管充填・レントゲン・支台築造・かぶせもの)・普通セラミックつめもの約6万円・普通セラミックかぶせもの約8万円・普通セラミック前歯約13万円・普通抜歯約1.7万円・普通レジン充填約1万円(税抜)

Recommendあなたへオススメ記事