三好デンタルオフィス
Metal Free DC Presented by Miyoshi Detal Office

Blog&Newsブログ & ニュース

厚生労働省 医療広告ガイドラインに沿うために記述
すべての歯科治療は、治療行為によって治療や改善が約束されているわけではなく、状態の悪化や後遺症の発生、抜歯や死亡を招くリスクを伴います。
※治療費用の例示・根本治療を伴う普通再治療約20万(かぶせものの除去・メタルコア除去・根管治療・根管充填・レントゲン・支台築造・かぶせもの)・普通セラミックつめもの約6万円・普通セラミックかぶせもの約8万円・普通セラミック前歯約13万円・普通抜歯約1.7万円・普通レジン充填約1万円(税抜)
2020/01/07根管治療広島

根管に残っていた折れたヤスリを外科的に除去しました。2020.01.07

2019.12.12_R26.jpg

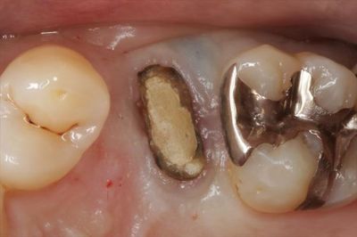
左上第二小臼歯の根管内に根管治療用のヤスリ(ファイル)が折れて残っています。

 

2020.01.07.gif 

かぶせものとメタルコアを除去する前のCT画像です。

折れているのは頬側ではなく、口蓋側の根管です。

 

CT_20200114092013_R26.jpg

水平断面です。矢印の部分の白く映っている部分がヤスリのカケラです。

 

CT_20200114092020_R26.jpg

口蓋根管に折れて残っていますので、頬側からのアプローチでは到達できません。(矢印が口蓋側)

どうしても根管内部から除去することができず、

頬側からもアプローチできない場合、

残念ではありますが、折れたままにする(諦める)妥協案と

意図的に抜歯して歯根の表面からアプローチし、ヤスリのカケラを除去したのちに再植する案があります。

H・Mさんは、金属を除去することこそが治療の目的でいらっしゃいますので

抜歯再植手術をご決断なさいました。

 

IMG_9706_R26.JPG

IMG_9704_R26.JPG

実際の左上第二小臼歯の状態です。

 

IMG_9712_R26.JPG

慎重に一旦抜歯しました。

黒っぽく透けて見えている部分の内部に金属(ヤスリのカケラ)が存在しています。

 

2020年01月07日16時05分00秒.wmv_000808169_R26.jpg

顕微鏡下で慎重に穴をあけ、超音波スケーラーで根管口方向へ押し戻すように振動を加えます。

 

2020年01月07日16時05分00秒.wmv_001022450_R26.jpg

ついにヤスリのカケラが出てきました。

 

IMG_97245_R26.JPG

 超音波振動を加えたことで脆い金属が崩れて、残っていたカケラよりも小さくなっています。

 

IMG_9718_R26.JPG

開けた穴は専用材料でリペアします。

 

IMG_9714_R26.JPG

抜歯窩(抜歯後の穴)の状態です。

 

IMG_9715_R26.JPG

 歯周組織再生材料であるエムドゲイン ゲルを注入して、ヤスリを除去した歯根を戻します。

 

IMG_972d2_R26.JPG

縫合して終了です。

しっかりと治癒したのちに改めて歯冠修復します。

 

H・Mさん、この歯が抜歯の力に耐えてくれて本当に良かったです。

よくぞご決断なさいました。今後が楽しみですね。

 

ご相談はお気軽にこちらからどうぞ。 

広島市の自由診療専門の歯科医院 三好デンタルオフィス

 

厚生労働省 医療広告ガイドライン に沿うための記述

すべての歯科治療は、治療行為によって治癒や改善が約束されているわけではなく、状態の悪化や後遺症の発生、抜歯や死亡を招くリスクを伴います。※治療費用の例示・根管治療を伴う普通再治療約20万円(かぶせもの除去・メタルコア除去・根管治療・根管充填・レントゲン・支台築造・かぶせもの)・普通セラミックつめもの約6万円・普通セラミックかぶせもの約8万円・普通セラミック前歯約13万円・普通抜歯約1.7万円・普通レジン充填約1万円(税抜)

Recommendあなたへオススメ記事