三好デンタルオフィス
Metal Free DC Presented by Miyoshi Detal Office

Blog&Newsブログ & ニュース

厚生労働省 医療広告ガイドラインに沿うために記述
すべての歯科治療は、治療行為によって治療や改善が約束されているわけではなく、状態の悪化や後遺症の発生、抜歯や死亡を招くリスクを伴います。
※治療費用の例示・根本治療を伴う普通再治療約20万(かぶせものの除去・メタルコア除去・根管治療・根管充填・レントゲン・支台築造・かぶせもの)・普通セラミックつめもの約6万円・普通セラミックかぶせもの約8万円・普通セラミック前歯約13万円・普通抜歯約1.7万円・普通レジン充填約1万円(税抜)
2020/02/15セラミック治療

根管治療のヤスリを外科的に除去した歯の治療が完成しました。2020.02.15

2019.08.31 01_R263.jpg

矢印の右下第一大臼歯には根の先端に根管治療用のヤスリが残っていました。

 

外科的にヤスリの欠片を除去し、

 「右下第一大臼歯の根尖のヤスリのかけらを除去しました。2019.10.05

再根管治療を行い、

歯根端切除を行った右下第一大臼歯の根管充填を終えました。2019.11.02

 

本日、セラミックの歯をセットして完成に至りました。

 

IMG_4678_R26.JPG

まずは、ヤスリの欠片を外科的に除去した際の写真です。

 

IMG_4689_R26.JPG

縫合して外科処置の終了です。

 

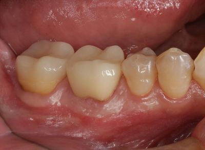
IMG_1786_R27.JPG

そして本日、セラミッククラウン(かぶせもの)をセットして完成した状態です。

(写真左端の右下第二大臼歯にもセラミック治療を行っています。)

 

N・Hさん、ついに右下の臼歯も完成ですね。

この歯が順調で私も嬉しいです。

 

ご相談はお気軽にこちらからどうぞ。 

広島市の自由診療専門の歯科医院 三好デンタルオフィス

 

厚生労働省 医療広告ガイドライン に沿うための記述

すべての歯科治療は、治療行為によって治癒や改善が約束されているわけではなく、状態の悪化や後遺症の発生、抜歯や死亡を招くリスクを伴います。※治療費用の例示・根管治療を伴う普通再治療約20万円(かぶせもの除去・メタルコア除去・根管治療・根管充填・レントゲン・支台築造・かぶせもの)・普通セラミックつめもの約6万円・普通セラミックかぶせもの約8万円・普通セラミック前歯約13万円・普通抜歯約1.7万円・普通レジン充填約1万円(税抜)

Recommendあなたへオススメ記事