三好デンタルオフィス
Metal Free DC Presented by Miyoshi Detal Office

Blog&Newsブログ & ニュース

厚生労働省 医療広告ガイドラインに沿うために記述
すべての歯科治療は、治療行為によって治療や改善が約束されているわけではなく、状態の悪化や後遺症の発生、抜歯や死亡を招くリスクを伴います。
※治療費用の例示・根本治療を伴う普通再治療約20万(かぶせものの除去・メタルコア除去・根管治療・根管充填・レントゲン・支台築造・かぶせもの)・普通セラミックつめもの約6万円・普通セラミックかぶせもの約8万円・普通セラミック前歯約13万円・普通抜歯約1.7万円・普通レジン充填約1万円(税抜)
2020/04/03メタルフリー治療

右上第二大臼歯の長いメタルコアを除去しました。2020.04.03

IMG_4009_R27.JPG

ラバーダムクランプをかけている右上第二大臼歯の金属を除去します。

メタルボンド(陶材焼付鋳造冠)の陶材部分が剥がれて、内部のリテンションビーズが見えています。

 

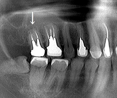
CT_20200403204211_R27.jpg

レントゲン写真です。

矢印部分が右上第二大臼歯であり、長いメタルコアが入っていることが判ります。

 

IMG_4010_R27.JPG

まずはメタルボンドを除去しました。

内部に白いレジンが大量に存在しており、その中にかぶせもの側の突起が保持のために入っていた状態です。

過去にメタルコアを除去しようと試みて、途中で中断し、レジンで埋め戻してかぶせたと推測されます。

 

IMG_4011_R27.JPG

除去したかぶせものです。

保持孔に入っていた突起部分をくり抜いています。

 

IMG_4015_R27.JPG

除去したメタルコアです。

強敵でしたが無事に取れて嬉しい瞬間です。

 

K・Kさん、次回からの再根管治療も頑張っていきましょう!

 

ご相談はお気軽にこちらからどうぞ。 

広島市の自由診療専門の歯科医院 三好デンタルオフィス

 

厚生労働省 医療広告ガイドライン に沿うための記述

すべての歯科治療は、治療行為によって治癒や改善が約束されているわけではなく、状態の悪化や後遺症の発生、抜歯や死亡を招くリスクを伴います。※治療費用の例示・根管治療を伴う普通再治療約20万円(かぶせもの除去・メタルコア除去・根管治療・根管充填・レントゲン・支台築造・かぶせもの)・普通セラミックつめもの約6万円・普通セラミックかぶせもの約8万円・普通セラミック前歯約13万円・普通抜歯約1.7万円・普通レジン充填約1万円(税抜)

Recommendあなたへオススメ記事