三好デンタルオフィス
Metal Free DC Presented by Miyoshi Detal Office

Blog&Newsブログ & ニュース

厚生労働省 医療広告ガイドラインに沿うために記述
すべての歯科治療は、治療行為によって治療や改善が約束されているわけではなく、状態の悪化や後遺症の発生、抜歯や死亡を招くリスクを伴います。
※治療費用の例示・根本治療を伴う普通再治療約20万(かぶせものの除去・メタルコア除去・根管治療・根管充填・レントゲン・支台築造・かぶせもの)・普通セラミックつめもの約6万円・普通セラミックかぶせもの約8万円・普通セラミック前歯約13万円・普通抜歯約1.7万円・普通レジン充填約1万円(税抜)
2017/01/27根管治療広島

根管治療からセラミックのセットまでを2回の治療で。Part1 2017.01.27

 

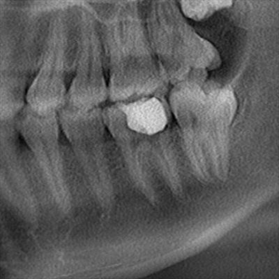
CT_20170127235753_R23.jpg

初診時の状態です。

左下第一大臼歯がむし歯によって昨日抜髄されています。

大学受験のため、2回の治療で根管治療からセラミックのセットまでの完成を予定します。

 

IMG_0692_R23.JPG

いつものようにラバーダムを装着し、マイクロスコープを降ろして治療開始です。

 

無題_0083.wmv_000567628.jpg

受診前のストッピング仮封を除去し、根管内の綿栓を除去して、まずはう蝕検知液で染色します。

写真は染色して水洗した状態です。

かなり染まる部分がありますのでまずは切削と染色を繰り返します。

明らかなむし歯(軟化象牙質)が残ったまま根管治療を行うのが許容できないためです。

 

無題_0083.wmv_002162637.jpg

う蝕検知液に染まる部分の切削を終え、根管口を整えました。

そうしますと遠心部分の極度に薄く、一部分に穴があきました。

周囲もエナメル質の向こう側の歯肉がピンクに透けて見えています。

この部分は強度の心配があるためセラミック修復時に遠心面も含めることとします。

 

IMG_0694.JPG

4根管性であるためサーマフィルを4本用いて垂直加圧根管充填を行いました。

 

 

102017.01.27.jpg

 

根管充填後のレントゲン写真です。

これ以上神経の処置をする歯が無いようにしたいところです。

次回、問題なければセレックによるワンデイ治療を行い完成まで進みます。

 

M・Mさん、今回は長丁場となりましたがよく頑張っていただきました。

歯が治った万全の状態で受験に臨んで頂けるよう次回を心待ちにしております。


※その後、2月1日に完成まで行った記事はこちらです。

http://www.mdo.jpn.com/blog/2017/02/2part2-20170201.html

 

もしよろしければ

ブログランキングに投票のため、このリンクのクリックお願いいたします。

 

ご相談はお気軽にこちらからどうぞ。

広島市の自由診療専門の歯科医院 三好デンタルオフィス

厚生労働省 医療広告ガイドライン に沿うための記述

すべての歯科治療は、治療行為によって治癒や改善が約束されているわけではなく、状態の悪化や後遺症の発生、抜歯や死亡を招くリスクを伴います。※治療費用の例示・根管治療を伴う普通再治療約20万円(かぶせもの除去・メタルコア除去・根管治療・根管充填・レントゲン・支台築造・かぶせもの)・普通セラミックつめもの約6万円・普通セラミックかぶせもの約8万円・普通セラミック前歯約13万円・普通抜歯約1.7万円・普通レジン充填約1万円(税抜)

Recommendあなたへオススメ記事