三好デンタルオフィス
Metal Free DC Presented by Miyoshi Detal Office

Blog&Newsブログ & ニュース

厚生労働省 医療広告ガイドラインに沿うために記述
すべての歯科治療は、治療行為によって治療や改善が約束されているわけではなく、状態の悪化や後遺症の発生、抜歯や死亡を招くリスクを伴います。
※治療費用の例示・根本治療を伴う普通再治療約20万(かぶせものの除去・メタルコア除去・根管治療・根管充填・レントゲン・支台築造・かぶせもの)・普通セラミックつめもの約6万円・普通セラミックかぶせもの約8万円・普通セラミック前歯約13万円・普通抜歯約1.7万円・普通レジン充填約1万円(税抜)
2017/03/01セラミック治療

金属の詰め物がセットされる予定の歯ですが内部は、、。 2017.03.01

 

CT_320170301220219_R23.jpg

画像中央:右下第二乳臼歯(E)が晩期残存しています。

代生歯である右下第二小臼歯が何らかの理由で萠出しなかったためと考えられます。

レントゲンにおいても第二乳臼歯遠心部分のセメント裏装と思われる部分と歯との境目には

一層の透過像がありますので、むし歯が残っているものと考えられます。

 

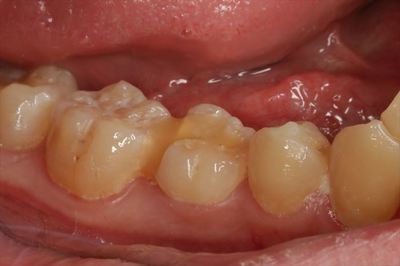
IMG_1674_R23.JPG

実際の右下臼歯です。

デュラシールのような半軟性樹脂仮封材の内部に白いセメント裏装が透けています。

予定では次回、金属の詰め物のセットであったそうですが、ここから弊オフィスで治療を引き継ぎます。

大きな病院の歯科において「強度的に金属でないとダメだ」とお聞きになって弊オフィスにご来院です。

いかなる状態からでも治療は問題なく引き継げます。

きりのいいところまで進む必要はありません。

 

IMG_2084_R23.JPG

デュラシール仮封を除去し、ラバーダムを装着し、マイクロスコープを降ろして

本日の治療開始です。

遠心はスリップジョイントでメタルインレーが滑り込むような形状です。

まずは過去の人工物、ここでは裏装(りそう)セメント(=保護セメント)を

すべて取り除いていきます。

全てのケースに於いて過去の人工物は信頼性が無いためすべて除去します。

 

セメントを超音波で除去していく 2017.03.01.gif

顕微鏡動画です。

セメントが歯に接している部分は超音波スケーラーで慎重に除去します。

 

無題_0122.wmv_001063494_R23.jpg

セメントの除去を終えましたら、う蝕検知液で染色しました。


染めて洗うとこのような虫歯の状態 2017.03.01.gif

水洗しましたら、このように軟化象牙質(=むし歯)が盛大に赤く染まりました。

レントゲン上の黒い層がこの部分であり、所見と一致します。

つまり、この上にセメントを盛り上げられ、さらに金属がスリップしながらセットされる運命であったわけです。

 

IMG_2086_R23.JPG

軟化象牙質を切削しては染色を繰り返してから

ボンディング材とコンポジットレジンでデンティンシールを済ませスキャニングの準備完了です。

 

IMG_2087_R23.JPG

パウダリングしてセレックでスキャンします。

 

IMG_2088_R23.JPG

セレックで迅速にセラミック修復物のデザインを行います。

 

IMG_2089_R23.JPG

IMG_2092_R23.JPG

セラミックブロックから、およそ6分でセラミックインレーの切削完了です。

 

IMG_2093_R23.JPG

接触圧と適合の確認後、研磨し、

改めてラバーダムを装着したうえでたっぷりのセメントを用いて接着します。

 

IMG_2094_R23.JPG

本日一日で完成しました。

乳歯であっても晩期残存している場合はセラミック修復が適切と考えます。

 

M・Hさん、金属治療が回避できて私も安堵しています。

仮に金属がセットされていたとしても早期に脱落して結局はご縁があったのかもしれません。

セラミック修復の治療の本質はこうした手間にあることをご理解いただけるのは幸いです。

 

もしよろしければ

ブログランキングに投票のため、このリンクのクリックお願いいたします。

 

ご相談はお気軽にこちらからどうぞ。

広島市の自由診療専門の歯科医院 三好デンタルオフィス

厚生労働省 医療広告ガイドライン に沿うための記述

すべての歯科治療は、治療行為によって治癒や改善が約束されているわけではなく、状態の悪化や後遺症の発生、抜歯や死亡を招くリスクを伴います。※治療費用の例示・根管治療を伴う普通再治療約20万円(かぶせもの除去・メタルコア除去・根管治療・根管充填・レントゲン・支台築造・かぶせもの)・普通セラミックつめもの約6万円・普通セラミックかぶせもの約8万円・普通セラミック前歯約13万円・普通抜歯約1.7万円・普通レジン充填約1万円(税抜)

Recommendあなたへオススメ記事