アクセス
ブログ
メニュー
TOP
医院紹介
院長紹介
治療費
初めての方へ
当医院の強み
治療項目について
よくある質問
金属のないお口にしたい方へ
根管から治療したい方へ
歯を失ってしまった方へ
院内設備について
求人情報
ブログ・ニュース
衛生面について
プライバシーポリシー・問い合わせ
Metal Free DC Presented
by Miyoshi Detal Office
トップ
TOP
医院紹介
Office
院長紹介
Doctor
治療項目
Treatment
治療費
Price
リクルート
Recruit
お電話の前に
まずはQ&A
お電話の前に
まずはQ&A
TOP
ブログ & ニュース
Blog&News
ブログ & ニュース
厚生労働省 医療広告ガイドラインに沿うために記述
すべての歯科治療は、治療行為によって治療や改善が約束されているわけではなく、状態の悪化や後遺症の発生、抜歯や死亡を招くリスクを伴います。
※治療費用の例示・根本治療を伴う普通再治療約20万(かぶせものの除去・メタルコア除去・根管治療・根管充填・レントゲン・支台築造・かぶせもの)・普通セラミックつめもの約6万円・普通セラミックかぶせもの約8万円・普通セラミック前歯約13万円・普通抜歯約1.7万円・普通レジン充填約1万円(税抜)
2020/04/08
審美治療広島,よく見られている記事
上顎前歯の審美的セラミック治療が完成しました。2020.04.08
詳細はこちら
2019/11/26
審美治療広島
上下顎全体の治療が終了しました。2019.11.26
詳細はこちら
2019/09/26
審美治療広島
上顎の前歯3本のセラミック審美治療を行いました。2019.09.26
詳細はこちら
2019/06/27
審美治療広島
下の前歯6本を審美治療のため仮歯に置き換えました。2019.06.27
詳細はこちら
2018/12/13
審美治療広島
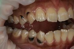
右上下の黒くなっていた虫歯をコンポジットレジンで治療しました。2018.12.13
詳細はこちら
1
2
3
CATEGORY
全て
お知らせ
日記
オフィスポリシー
セラミック治療
メタルフリー治療
根管治療広島
口腔外科処理
審美治療広島
インプラント治療
設備・機材
その他
オフィス内を探検する
歯周病再生治療
よく見られている記事
CATEGORY